最新ニュース
最新コンピュータセラミック治療
セレックの取材を受けました。
![]() |
詳しくはコチラ |
セラミック
①金属、CRとセラミックの違い(保険では最適な治療の1/5ぐらいしかできません)
・金属、CRはカリエスになりやすい
・セラミックはとても強い接着剤で接着するので、2次カリエスなどの心配が少ない
②従来のセラミックとセレックの違い
・その日のうちに虫歯を削ってセラミックをいれることができる
・セレックはブロックから削り出すので材質が均一
・従来のセラミックより歯質に極めて近い物性、エナメル質とほぼ同じ
(簡単いうとセラミックよりやわらかくて割れにくい)
・コンピューターで設計し、削り出すので出来上がったモノが製作者の技量の差がでにくい
(経験が豊富な人でも、経験が少ない人でも削り出すのはコンピューターで削りだします)
・技工所を経由しないので料金は安いと思います
③スタンダードセレックとハイグレードセレック(E-MAX)
・E-MAXはスタンダードより歯に近づけられます(色と硬さ)
・E-MAXはセレックより強度が必要であるインプラントの上部構造に適しています。
・ステイニングができて色を合わすことができる
・列溝部の着色もつくりだすことができる
歯科治療の最先端CAD/CAM
CAD/CAM セレックACオムニカムはたった1回の通院で白くて目立たないセラミックの詰め物が出来る新システム。全世界で500,000人以上の人がCAD/CAM セレックACオムニカムを体験しています!
CAD/CAMとは
簡単に言うとコンピューター(イメージングユニット)でお口の歯をスキャンし、ミリングユニットと言う機器を使い詰めの(歯)を作りだします。従来手作業でおこなっていた作業を、最新のコンピューターを駆使した事で、時間の短縮・3次元スキャンによる正確な咬み合わせを可能にしました。全国歯科医院でもこの機器を導入しておいる医院は少なく現在最も最新の歯科治療と言えます。
キャドカム-セレックACオムニカムはこんな患者さんにオススメです!
・忙しく時間が無い患者さん
・金属アレルギーをお持ちの方
・コストを気にされてる方
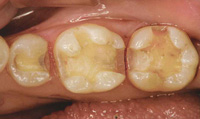
![]() |
![]() |
| 術前 | 術中 |
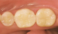
![]() |
![]() |
| 形成 | 術後 |
セレックACオムニカムの導入
![]() |
![]() |
奥歯を白くしたい方におすすめです。
![]() |
⇒⇒⇒ | ![]() |
詰め物をした金属が、口を開けると見えてしまい、気になって笑えません。
金属部分の詰め物および被せ物をセラミックに交換をおススメします。ほとんどの場合見た目が美しくなり、周りの歯とも違和感もなく本来の歯と同じように見えます。 セラミックにすることにより、遠慮なく笑うことができます。あなたのお悩みは、当クリニックで解決できますので、ぜひご相談ください。
当日すぐその場でセラミックに詰め物を変えられる「セレックACオムニカム」が当クリニックにはあります。セレックACオムニカムなら料金的にもお安くできます。
| フルカバー | (全体に被せるもの) | 1本 | ¥60,000+税 | |
| アンレー | (部分的に被せるもの) | 1本 | ¥55,000+税 | (全体の1/2まで) |
| インレー | (部分的に詰めるもの) | 1本 | ¥50,000+税 | (全体の約1/4まで) |
【キャンペーン】
現在おかげ様で1500本を越え、みなさま4本~5本まとめて治療される方が多く、みなさまに少しでも喜んでいただければと、このたび本数に応じて割引を実施することに致しました。
アンケートにご協力をお願いしております。
なお、現金での値引きは行っておりません。
※消費税抜きの金額が対象です。
※クレジットカードのお支払いは割引対象外です。
支払った分は本数としてカウントされませんので、ご注意ください。
この機会にぜひお試しください。
■割引特典
・3本目で 3%分のケアグッズをサービス
・4本目で 4%分のケアグッズをサービス
・5本目で 5%分のケアグッズをサービス
・6本目で 6%分のケアグッズをサービス
・7本目で 7%分のケアグッズをサービス
・8本目で 8%分のケアグッズをサービス
・9本目で 9%分のケアグッズをサービス
・10本目で 10%分のケアグッズをサービス
・11本目で 11%分のケアグッズをサービス
・12本目で 12%分のケアグッズをサービス
・13本目で 13%分のケアグッズをサービス
・14本目で 14%分のケアグッズをサービス
・15本目で 15%分のケアグッズをサービス
とさせていただきます。
例)1本あたり64,800円で治療された場合
・1本目 64,800円
・2本目 64,800円
・3本目 64,800円 3%分の1,800円のケアグッズをサービス
・4本目 64,800円 4%分の2,400円のケアグッズをサービス
・5本目 64,800円 5%分の3,000円のケアグッズをサービス
・6本目 64,800円 6%分の3,600円のケアグッズをサービス
・7本目 64,800円 7%分の4,200円のケアグッズをサービス
・8本目 64,800円 8%分の4,800円のケアグッズをサービス
・9本目 64,800円 9%分の5,400円のケアグッズをサービス
・10本目 64,800円 10%分の6,000円のケアグッズをサービス
・11本目 64,800円 11%分の6,600円のケアグッズをサービス
・12本目 64,800円 12%分の7,200円のケアグッズをサービス
・13本目 64,800円 13%分の7,800円のケアグッズをサービス
・14本目 64,800円 14%分の8,400円のケアグッズをサービス
・15本目 64,800円 15%分の9,000円のケアグッズをサービス
|BACK|






















